DENTISTA, VOCÊ PRECISA DE UM ENDODELIVERY?

Se você é dentista em Niterói mas não faz (ou não gosta de fazer) endodontia, a sua resposta está aqui.
Eu posso resolver esse problema para você.

MAIS DE

0
ANOS DE EXPERIÊNCIA EM ENDODONTIA ESPECIALIZADA

MAIS DE

0

INDICADORES PARCEIROS

MAIS DE

0

CANAIS TRATADOS

POR QUE DELEGAR O TRATAMENTO DE CANAL PARA O ENDODELIVERY?

Mais de 90% dos casos que levariam algumas sessões podem ser resolvidos pelo especialista em sessão única, economizando tempo e energia do indicador;

Há duas grandes vantagens de se contratar um profissional delivery: não precisar encaminhar o paciente para outra clínica e ocupar a sala de atendimento somente no período agendado 

Por se dedicar exclusivamente à área, o especialista estuda e se atualiza constantemente, deixando o indicador com a certeza de que oferecerá o que há de mais moderno na endodontia;

O indicador não precisará fazer investimentos em materiais, o especialista leva as melhores tecnologias (motor, localizador apical, rx portátil, sensor digital, câmera intra oral, lupa odontológica…) e os melhores protocolos para o sucesso de cada caso.

Como Funciona?

Agende seu horário

Fale comigo pelo Whatsapp, introduza o caso e agende o atendimento

Não se preocupe
com nada

Equipamentos e
materiais endodônticos estão incluídos no atendimento

Envio do
relatório

Após o atendimento é
enviado um relatório completo
sobre o tratamento realizado

O que dizem os
Parceiros Indicadores

Dra. Daniele Perlingeiro Cormack @innova__saude
Dra. Daniele Perlingeiro Cormack @innova__saudeCRO RJ 23192
Andressa é uma profissional maravilhosa e tenho muito orgulho de ter na minha equipe, cuida carinhosamente dos seus pacientes, investe o seu tempo em cursos em busca de sabedoria e conhecimento, e ainda investe em materiais de última geração para que o atendimento saia impecável. Entreguei além dos meus pacientes, a minha família e eu aos seus cuidados profissionais. Obrigada por tanto! Agradeço a Deus por nestes quatro anos ter nos unido profissionalmente.
Dra. Sabrina Veloso Macedo @genticlinica
Dra. Sabrina Veloso Macedo @genticlinicaCRO RJ 52274
A Dra. Andressa é um exemplo de dedicação e excelência em nossa clínica. Cada paciente atendido por ela recebe não apenas tratamento especializado, mas também um cuidado que vai além do esperado. Sua habilidade técnica, aliada a abordagem acolhedora e minuciosa, faz dela uma profissional sem igual. Nós da clínica somos imensamente gratos pela parceria e por ter uma endodontista tão talentosa e comprometida conosco que sempre assegura que cada paciente saia do consultório se sentindo melhor e mais confiante.
Dra. Sara Martins @martinsnirelloodontologia
Dra. Sara Martins @martinsnirelloodontologiaCRO RJ 44137
A Andressa faz parte da minha equipe desde que abri o consultório e confio de olhos fechados, profissional que sempre busca o melhor para os pacientes se atualizando e investindo em equipamentos e materiais para tornar o atendimento mais confortável além da forma carinhosa e empática como trata todos, o que é essencial em um atendimento humanizado.
Dra. Marjorie Moraes
Dra. Marjorie MoraesCRO RJ 46166
Gostaria de expressar todo o meu respeito, admiração e carinho por fazer seu ofício com tamanha excelência. Sua competência técnica e, sobretudo, a delicadeza com que conduz cada atendimento, transmitem uma confiança e tranquilidade únicas. A combinação de profissionalismo e empatia é realmente notável e, sem dúvida, faz toda a diferença na experiência de seus pacientes. É um privilégio poder contar com um atendimento tão cuidadoso e de altíssima qualidade.
Jussara Gloria dos Santos @drajussara.gloria
Jussara Gloria dos Santos @drajussara.gloriaCRO RJ 44218
Dra Andressa é parceira do meu consultório há quase 2 anos, proporcionando sempre um atendimento tranquilo e muito profissional. Desde que assumiu a especialidade endodôntica da nossa clínica não tivemos mais problemas, todos saem satisfeitos com o tratamento realizado e sua dedicação. É um prazer tê-la em nossa equipe!
Dra. Aimee Castro @draaimeecastro
Dra. Aimee Castro @draaimeecastroCRO RJ 47413
Uma ótima profissional, trabalhamos juntas em uma clínica e quando abri meu consultório eu chamei a Dra Andressa para ser minha endodontista e recebo muitos relatos bons dos meus pacientes! Excelente profissional, tem paciência, carinho e atenção com todos os pacientes não importa a idade. Super recomendo!
Dra. Gelma Coutinho S Pinheiro @dragelmacoutinho
Dra. Gelma Coutinho S Pinheiro @dragelmacoutinhoCRO RJ 44827
Dra Andressa faz parte da minha equipe há 6 anos como endodontista, sempre executando um trabalho de excelência e dedicação, além de muita parceria.

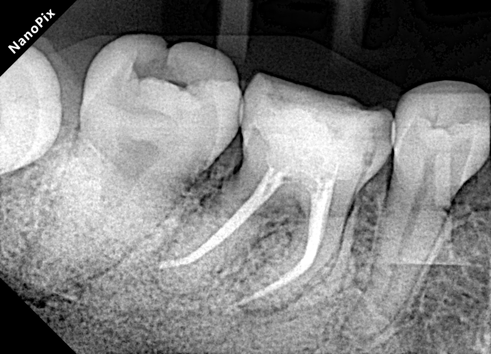
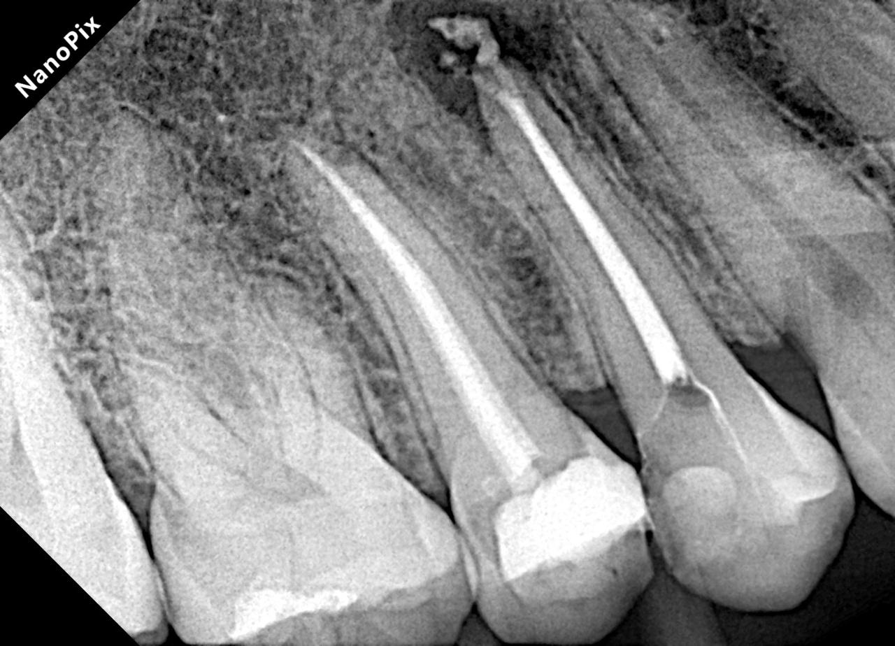
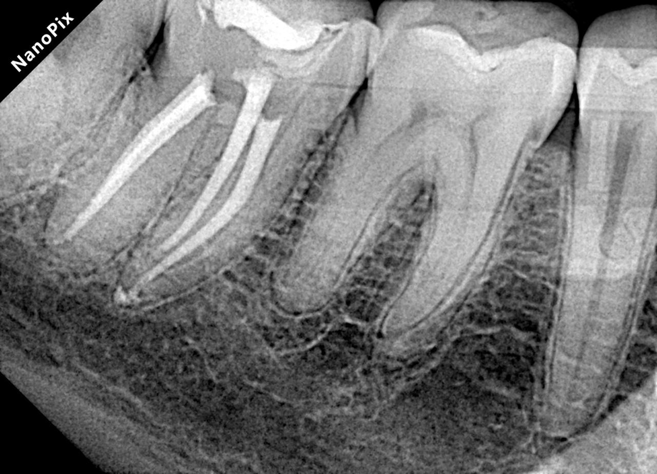
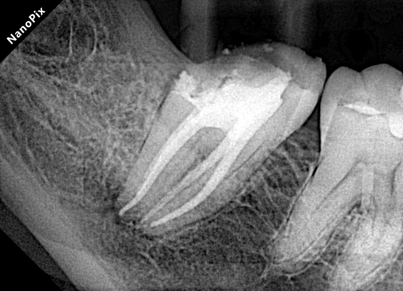
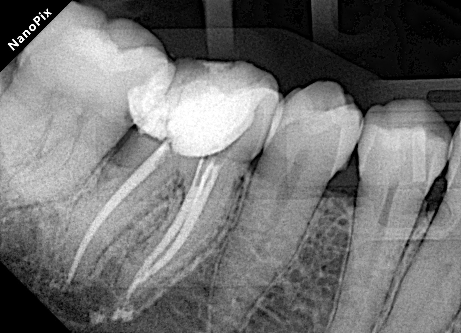
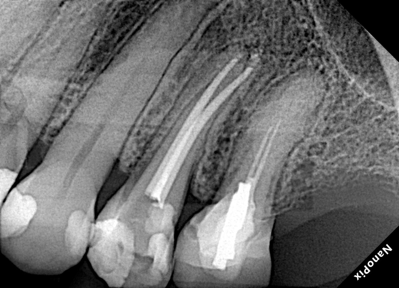
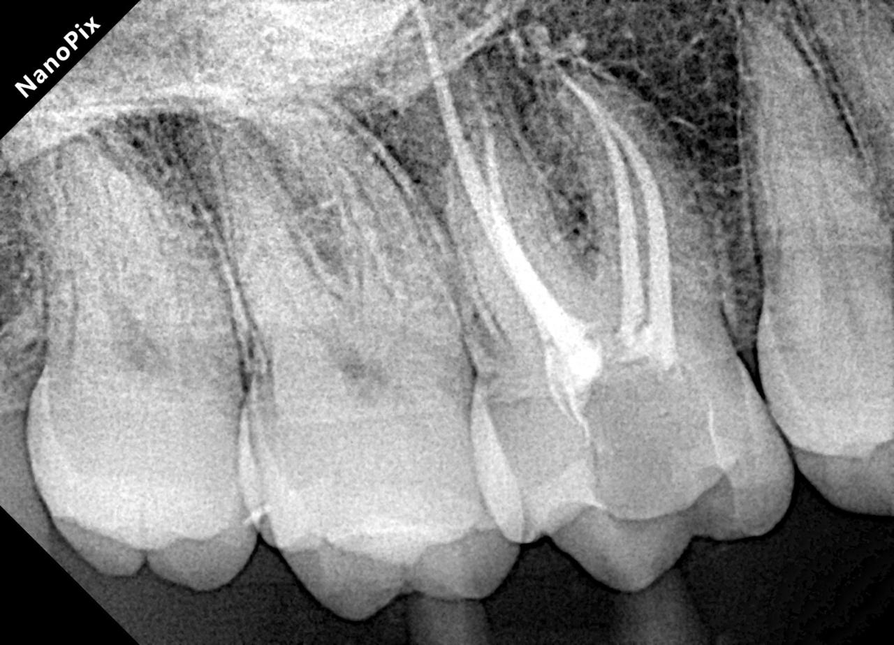
Veja alguns casos de sucesso

Raio de Atendimento

Saiba mais um pouco sobre mim

Meu nome é Andressa Azeredo, sou dentista apaixonada pela endodontia. Formei em 2016 pela Universidade Salgado de Oliveira, e me tornei especialista em endodontia em 2018 pela INCO25. (CRO-RJ 44837)

Desde então, atuo exclusivamente na área de endodontia, atendendo em clínicas particulares de parceiros indicadores, na região de Saquarema, Araruama e Niterói.

O meu objetivo é levar uma endodontia humanizada e acolhedora, trazendo a melhor experiência possível para cada paciente.

Andressa Azeredo – Cirurgiã Dentista CRO-RJ 44837 – Todos Direitos Reservados